Whatsapp Whatsapp
Telefon Hemen Ara
Dikilitaş Mah. Hakkı Yeten Cad. Süleyman Seba Kompleksi 10/C Beşiktaş/İSTANBUL 0533 619 38 43 0533 619 38 43

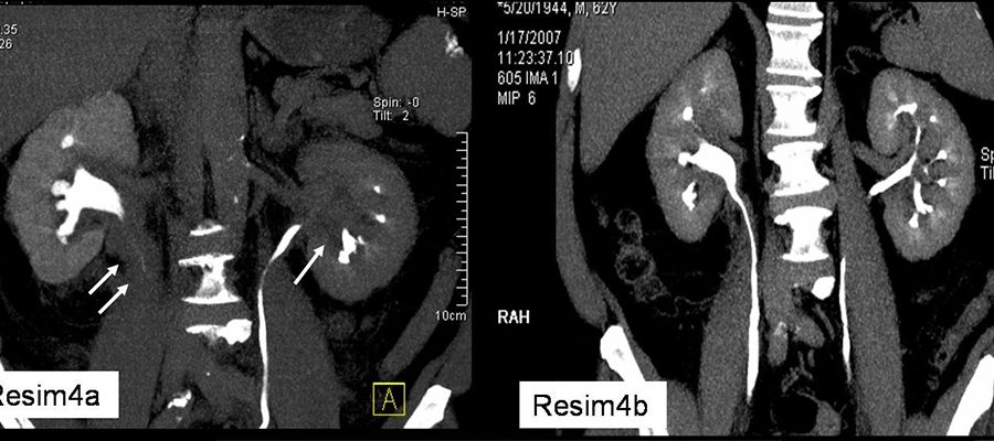
Üriner Sistem Tomografi

Bu tetkikte böbrek, üreter , mesane gibi üriner sistem yapılarında taş, tümör v.b patolojileri aramak için yapılır.Taş oglularında kontrast madde kullanımına gerek olmamaktadır.Ancak özellikle üst ve alt üreter taşlarının üriner sistemde ne derece tıkanıklık yapıp yapmadığını görmek amacıyla kontrast madde kullanılabilir.Yine böbrek ,mesane, üreter tümörlü vakalarda kontrast ajan kullanılabilmektedir.

Renal kolik yani böbrek taşı olan hastalarda düşük doz  BT taraması ile böbrek, mesane ,üreter taşları rahatlıkla görüntülenebilmektedir.

İlginizi Çekebilir  Spektroskopi Yöntemleri Nelerdir?