Whatsapp Whatsapp
Telefon Hemen Ara
Dikilitaş Mah. Hakkı Yeten Cad. Süleyman Seba Kompleksi 10/C Beşiktaş/İSTANBUL 0533 619 38 43 0533 619 38 43

THORAX (Göğüs-Akciğer) Tomografi

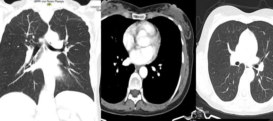
Günümüzde akciğer ve hava yollarının hastalıklarını en iyi gösteren tetkik tomografidir.

Thorax BT ‘de mediasten denilen göğüs boşluğunda yer alan kalp,soluk borusu, yemek borusu, kalpten çıkan ana damarsal yapılarla birlikte akciğer ve akciğeri oluşturan hava kesecikleri hakkında bilgi sahibi oluruz.

Akciğerlerin hava ile dolu olması sebebiyle tomografi dışındaki tetkikler akciğerin bu kendine has yapısını bu kadar detaylı gösteremezler.

İlginizi Çekebilir  Rahim Filmi HSG Hakkında Bilmeniz Gerekenler